Cas clinique

Les actinomycoses pelviennes

Publié le 17/04/2026

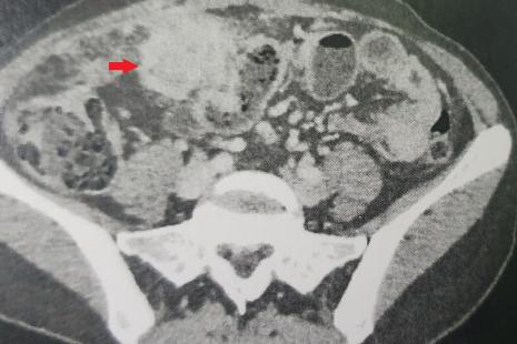
Les actinomycoses pelviennes sont des affections bactériennes rares. Chez les femmes, dans la majorité des cas, elles sont dues à un dispositif intra-utérin. La symptomatologie est très atypique avec des douleurs abdominales mal systématisées. Le diagnostic repose sur la culture de prélèvements contaminés. Le traitement repose sur l’administration de pénicilline. En cas de complications, une prise en charge chirurgicale peut être nécessaire.

actinomycoses pelviennes

Sylviane, 47 ans, consulte pour douleurs abdominales et pelviennes.

Sur le plan clinique, nous sommes surpris par la présence d’une défense au niveau de la fosse iliaque droite, mais aussi de la région hypogastrique.

La suite de l’article est réservée aux abonnés.

Inscrivez-vous GRATUITEMENT pour lire une sélection d’articles

Votre inscription nous permet de contrôler le contenu auquel nous avons le droit de vous donner accès en fonction de votre profession (directives de l’ANSM).

Je me connecte